Proč se mi rozpadají zuby? Příčiny a co s tím udělat

Proč se mi rozpadají zuby? Příčiny a co s tím udělat

Stále častěji se slyší v ordinacích: „Proč se mi rozpadají zuby?“. Nejde o vzácný problém. V Česku každý čtvrtý dospělý trpí vážnějším poškozením zubů, které vede k jejich rozpadu. Nejde jen o špatnou hygienu. To je jen část příběhu. Když se ti zuby začínají rozpadat, není to náhoda. Je to výsledek kombinace několika faktorů, které se postupně hromadí - a často je to příliš pozdě, když to už začne bolět.

Zubní kámen a neviditelný útočník

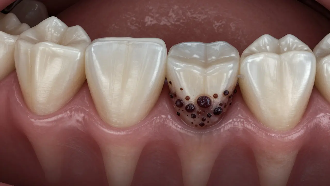
Nejčastější příčina rozpadu zubů není cukr - alespoň ne přímo. Je to zubní kámen. Když se zubní plak neodstraňuje pravidelně, mineralizuje se za pár měsíců. Vzniká tvrdá, často tmavá vrstva na zubech, kterou nemůžeš odstranit štětečkem. Tento kámen je jak štít pro bakterie. Pod ním se neustále množí kyseliny, které pomalu, ale jistě, rozežerou sklovinku a dentin. Většina lidí si neuvědomuje, že kámen může být i na zadní straně zubů, kde ho nikdo nevidí. A právě tam začíná rozpad.

Ve městech jako Brno, kde se pije hodně kávy, čaje nebo červeného vína, se tento problém zhoršuje. Tyto nápoje nejen zbarvují zuby, ale zvyšují kyselost v ústech. Když k tomu přidáš špatnou hygienu, výsledkem je broušení zubů - ne zubního štětce, ale chemického rozkladu. Zuby se stávají křehkými, vypadají jako poškrábané, a v jednom okamžiku se z nich odtrhne kousek.

Co dělá kyselina a proč to není jen o cukru

Mnoho lidí si myslí, že když nejí sladkosti, zuby budou v pořádku. To je chyba. Kyselina, která ničí zuby, vzniká nejen z cukru. Z průměrného jídla - třeba chleba, ovesných vloček, ovoce nebo sušenky - se tvoří kyseliny, které zubům ubírají minerály. Když se zuby nečistí po každém jídle, tyto kyseliny působí 20-30 minut. A to každý den. Představ si, že každý den 10-15 minut trháš zubní sklovinku malým kladívkem. To není příliš, ale za rok to děláš tisíckrát.

Problém je i v tom, že mnoho lidí čistí zuby jen ráno a večer. A to je málo. Pokud jíš mezi tím, třeba kousek čokolády, oříšek nebo sušenku, zuby už nemají čas se obnovit. Slina je přirozeným opravářem - ale potřebuje alespoň 40 minut na to, aby obnovila minerály. Když jíš každou hodinu, slina nedostane šanci.

Broušení zubů a noční stisk

Ne každý rozpad zubů je způsobený kyselinou. Někdy je příčinou broušení zubů - známé také jako bruxismus. Mnoho lidí to dělá ve spánku, aniž by to věděli. Zuby se o sebe třou, jako kdyby někdo je škrábal brusným papírem. Výsledkem jsou ploché, zvýrazněné hrany, které se později lámou. Zuby se stávají citlivějšími, a v některých případech se rozpadají úplně - bez kávového skvrny, bez kámen, jen kvůli mechanickému poškození.

V Brně a jeho okolí se tento problém zhoršuje kvůli stresu. Lidé, kteří pracují dlouhé hodiny, mají vysoký tlak nebo spí s otevřenými ústy, častěji brouší zuby. Pokud máš bolest čelisti ráno, zvýšenou citlivost zubů nebo zaznamenáš, že zuby vypadají jako kdyby je někdo zasílal, můžeš mít bruxismus. Léčba není těžká - jen potřebuješ noční štít, který ti zubní lékař udělá. A to je levnější než nové zuby.

Noční broušení zubů s viditelnými poškozeními na korunkách

Chybějící vitamíny a zdraví celého těla

Zuby nejsou jen „nástroj“ na žvýkání. Jsou součástí celého těla. Když máš nedostatek vápníku, vitamínu D nebo K2, tělo začne „vybírat“ minerály z kostí - včetně zubů. Není to jen o stravě. Některé léky, například antidepresiva nebo léky na tlak, způsobují suchost úst. A suché ústa = méně sliny = méně ochrany. Výsledkem je rychlejší rozpad.

Ženy po 40. roce často zaznamenávají náhlý rozpad zubů. Není to náhoda. S poklesem estrogenu se zvyšuje kyselost v ústech a klesá schopnost kostí udržet minerály. To znamená, že i když čistíš zuby jako profesionál, můžeš stále mít problém - jen protože tělo změnilo chemický balanc.

Co dělat, když se ti zuby už rozpadají

První věc, kterou musíš udělat, je jít k zubnímu lékaři - okamžitě. Nečekej, až to bolí. Když se zub rozpadá, není to jen o estetice. Bakterie se šíří do dásní, do kosti, až do krve. Můžeš mít zánět, který se projeví až po měsíci, kdy už je příliš pozdě.

Co ti lékař udělá:

  • Odstraní zubní kámen - to je první krok, který zastaví rozpad
  • Zkontroluje, zda máš bruxismus - a pokud ano, udělá ti noční štít
  • Zjistí, zda máš kyselost úst - a doporuší vhodné ústní vody nebo zubní pasty
  • Zkontroluje hladiny vitamínů - a pokud je třeba, doporučí doplňky

Neexistuje „jedna věc“, která to vyřeší. Musíš se zaměřit na všechno najednou: hygiena, strava, stres, spánek. A nejde jen o „čistění“. Musíš změnit návyky. Například: místo kávy po obědě - voda. Místo sušenky - oříšky. Místo čištění jen ráno a večer - přidat rychlý pláchnutí po obědě.

Srovnání zdravého a rozpadajícího se zubu s faktory poškození

Co můžeš dělat hned teď

Nečekáš na návštěvu u lékaře? Pak udělej toto:

  1. Uprav štěteček - používej ten s měkkými vlákny a kruhovým pohybem, ne škrábaní
  2. Používej pastu s fluoridem - ale ne příliš mnoho. Dostatek je velká zrna
  3. Pláchni ústa vodou po každém jídle - i když to jen tak trochu
  4. Přestaň pít kávu nebo víno na prázdný žaludek - kyselina je větší
  5. Přidej do jídelníčku zeleninu s vysokým obsahem vitamínu K2 - třeba kvasnice, zelí, niva

Nejde o to, abys měl „perfektní“ zuby. Jde o to, abys zastavil rozpad. A to můžeš udělat už dnes - pokud to uděláš správně.

Co se stane, když to necháš běžet

Když se zuby rozpadají a nic neuděláš, není to jen o ztrátě zubu. Je to o ztrátě kvality života. Nejde jen o tom, že nebudeš moci jíst jablko. Je to o tom, že nebudeš moci mluvit bez bolesti, že se budeš vyhýbat sociálním setkáním, protože se stydíš. A pak přijde čas, kdy už není možné zub zachránit - jen ho vytrhnout a nahradit implantací. A to stojí tisíce korun. A to je jen za jeden zub.

Na druhé straně - když začneš dělat věci správně, můžeš zastavit rozpad během pár měsíců. Zuby se obnoví. Kyselina se sníží. Slina začne pracovat. A ty se znovu můžeš usmívat bez strachu.

Proč se mi rozpadají zuby, když nejím sladkosti?

Zuby se rozpadají nejen z cukru, ale z kyselin, které vznikají z každého jídla - třeba chleba, ovoce nebo ovesných vloček. Když se zuby nečistí po každém jídle, kyseliny pomalu rozežerou sklovinku. Důležité je, jak často jíš, ne co jíš.

Je pravda, že zubní kámen způsobuje rozpad zubů?

Ano. Zubní kámen je ztuhlá vrstva plaku, která chrání bakterie pod sebou. Tyto bakterie produkují kyseliny, které ničí zubní sklovinku. Kámen neodstraníš štětečkem - potřebuješ odborný zubní čistící přístroj.

Může broušení zubů způsobit, že se zuby rozpadnou?

Ano. Broušení (bruxismus) způsobuje mechanické poškození - zuby se opotřebovávají, praskají a lámou se. To se děje obvykle ve spánku a často to nevíš. Pokud máš bolest čelisti ráno, zkontroluj, zda nebroušíš zuby.

Jak poznám, že mám nedostatek vápníku ve zubech?

Zuby, které mají nedostatek minerálů, jsou křehké, vypadají jako „průsvitné“ u špiček, a snadno se poškrábou. Pokud ti zuby vypadají jako „přežvýkané“ nebo se z nich lehce odtrhávají kousky, může to být znamení nedostatku vápníku nebo vitamínu D.

Je možné, že se zuby obnoví, když už začaly rozpadat?

Ano, ale jen na začátku. Když je poškození jen povrchní - třeba malá bílá skvrna - slina a fluorid mohou zub obnovit. Když už je kousko zubu ztraceno, není to možné. Proto je důležité reagovat hned, když si všimneš změny.

Releted Post

Hana Svobodová

Hana Svobodová

Jsem stomatoložka s láskou k psaní o pečování o zuby. Pracuji v renomované stomatologické klinice v Brně, kde se zaměřuji na preventivní stomatologii. Mou vášní je vzdělávání lidí o důležitosti péče o zuby a ústní hygieně, a proto ve volném čase píšu články a blogy na toto téma. Věřím v to, že správná péče o ústa a zuby je klíčem k celkovému zdraví. Moje práce je mojí vášní a snažím se ji dělat co nejlépe.

Komentáře

Odeslat komentář